Skolyoz nasıl düzeltilir, hangi yöntemler etkilidir?
Skolyoz, omurganın yana doğru eğilmesiyle karakterize edilen bir durumdur. Genellikle ergenlik döneminde ortaya çıkar ve çeşitli nedenlere bağlı olarak gelişir. Bu yazıda skolyozun nedenleri, türleri ve etkili tedavi yöntemleri hakkında bilgi verilecektir. Erken tanı ve uygun tedavi, hastalığın yönetiminde büyük önem taşımaktadır.
Skolyoz Nasıldır, Hangi Yöntemler Etkilidir?Skolyoz, omurganın yana doğru eğilmesi ile karakterize edilen bir durumdur. Genellikle ergenlik döneminde ortaya çıkar ve çeşitli nedenlerden kaynaklanabilir. Skolyozun tedavisi, eğilimin şiddetine, hastanın yaşına ve genel sağlık durumuna bağlı olarak değişiklik gösterir. Bu makalede, skolyozun düzeltilmesi için etkili yöntemler ele alınacaktır. Skolyozun Nedenleri ve TürleriSkolyoz, genetik faktörler, doğumsal anomaliler, sinir kas hastalıkları veya bilinmeyen nedenler gibi çeşitli etkenlerden kaynaklanabilir. Skolyoz türleri arasında en yaygın olanları şunlardır:
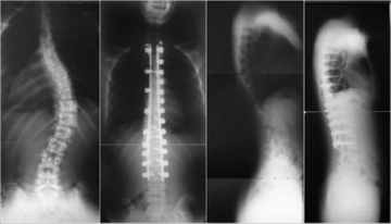
Her bir tür, farklı tedavi yaklaşımları gerektirebilir. İdiyopatik skolyoz, genellikle ergenlik döneminde ortaya çıkar ve tedavi edilmediğinde ciddi sorunlara yol açabilir. Skolyozun TanısıSkolyozun tanısı genellikle fizik muayene ve görüntüleme yöntemleri ile konur. Doktor, hastanın duruşunu değerlendirir ve gerekirse röntgen çekimi yapar. Röntgen, omurganın eğilimini ve açılarını belirlemeye yardımcı olur. Skolyoz Tedavi YöntemleriSkolyoz tedavisinde kullanılan başlıca yöntemler şunlardır:
Fizik Tedavi ve Egzersiz: Fizik tedavi, skolyozun ilerlemesini durdurmak ve postürü düzeltmek için önemli bir rol oynar. Hastalara özel egzersiz programları uygulanır. Bu programlar, kas gücünü artırmayı ve esnekliği geliştirmeyi hedefler. Ortez Kullanımı: Ortezler, omurganın düzeltilmesine yardımcı olmak için kullanılan cihazlardır. Özellikle büyüme çağındaki çocuklar için etkili olabilir. Ortezlerin kullanım süresi, skolyozun şiddetine bağlı olarak değişir. Cerrahi Müdahale: Eğer skolyoz ilerliyorsa ve diğer tedavi yöntemleri yeterli olmuyorsa cerrahi müdahale gerekebilir. Cerrahi işlemler genellikle omurganın düzeltilmesi ve stabilizasyonunu hedefler. Bu tür bir müdahale, hastanın yaşına, genel sağlık durumuna ve skolyozun şiddetine göre planlanır. SonuçSkolyoz tedavisi, bireysel ihtiyaçlara göre özelleştirilmelidir. Tedavi yöntemleri arasında fizik tedavi, ortez kullanımı ve cerrahi müdahale gibi seçenekler bulunmaktadır. Erken tanı ve uygun tedavi, skolyozun yönetiminde kritik öneme sahiptir. Her birey için en uygun tedavi yönteminin belirlenmesi, uzman bir hekim tarafından yapılmalıdır. Ek BilgilerSkolyoz hastalarının takip edilmesi ve düzenli kontrollerin yapılması, tedavi sürecinin etkinliği açısından önemlidir. Ayrıca, skolyozun psikolojik etkileri de göz önünde bulundurulmalıdır. Hastaların duygusal destek alması, tedavi sürecini olumlu yönde etkileyebilir. Skolyoz ile ilgili daha fazla bilgi ve destek almak için uzman sağlık profesyonellerine başvurulması önerilmektedir. |















































Skolyoz hakkında okuduklarımın ardından, bu durumla başa çıkmanın ne kadar karmaşık olduğunu düşündüm. Özellikle ergenlik döneminde ortaya çıkması ve tedavi yöntemlerinin çeşitliliği insanı düşündürüyor. Tedavi seçenekleri arasında fizik tedavi, ortez kullanımı ve cerrahi müdahale gibi yöntemlerin bulunması, gerçekten de kişiye özel bir yaklaşım gerektiriyor gibi görünüyor. Ayrıca, psikolojik etkilerinin de göz önünde bulundurulması gerektiği vurgusu, bu tür sağlık sorunlarının sadece fiziksel değil, duygusal boyutlarının da önemli olduğunu gösteriyor. Bu konuda uzman hekimlerle görüşmek ne kadar önemli, değil mi?
Haklısınız Berk bey, skolyoz gerçekten çok yönlü ele alınması gereken bir durum. Okuduklarınızdan da anlaşıldığı gibi:
Ergenlik dönemi özellikle kritik çünkü büyüme hızlandığı için eğrilikler de hızla artış gösterebiliyor. Bu nedenle erken teşhis ve düzenli takip büyük önem taşıyor.
Tedavi çeşitliliği konusunda da haklısınız - hafif eğriliklerde gözlem ve egzersiz yeterli olabilirken, orta dereceli eğriliklerde korse tedavisi, ileri durumlarda ise cerrahi gündeme geliyor. Bu tamamen eğriliğin derecesine, yerine ve hastanın yaşına göre belirleniyor.
Psikolojik etkiler özellikle ergenlerde önem taşıyor. Beden imajındaki değişimler, korse kullanımı veya aktivite kısıtlamaları gençler üzerinde olumsuz etkiler yaratabiliyor.
Uzman hekimlerle görüşmenin önemi konusuna kesinlikle katılıyorum. Skolyoz tedavisi multidisipliner bir yaklaşım gerektiriyor ve ortopedi uzmanı, fizyoterapist, psikolog gibi farklı branşlardan profesyonellerin işbirliğiyle en iyi sonuçlara ulaşılabiliyor.